Lentes de Contato Dental
Transforme seu sorriso e melhore sua autoestima com lentes de contato dental em Santarém.
Lentes de Contato Dental
Transforme seu sorriso com lentes de contato dental em Santarém.
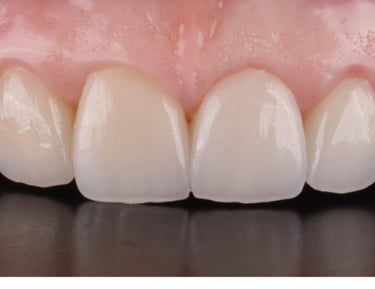
Benefícios Estéticos


Melhore sua autoestima com um sorriso deslumbrante.




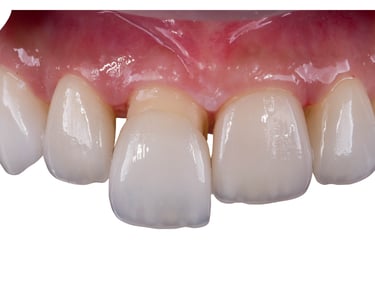
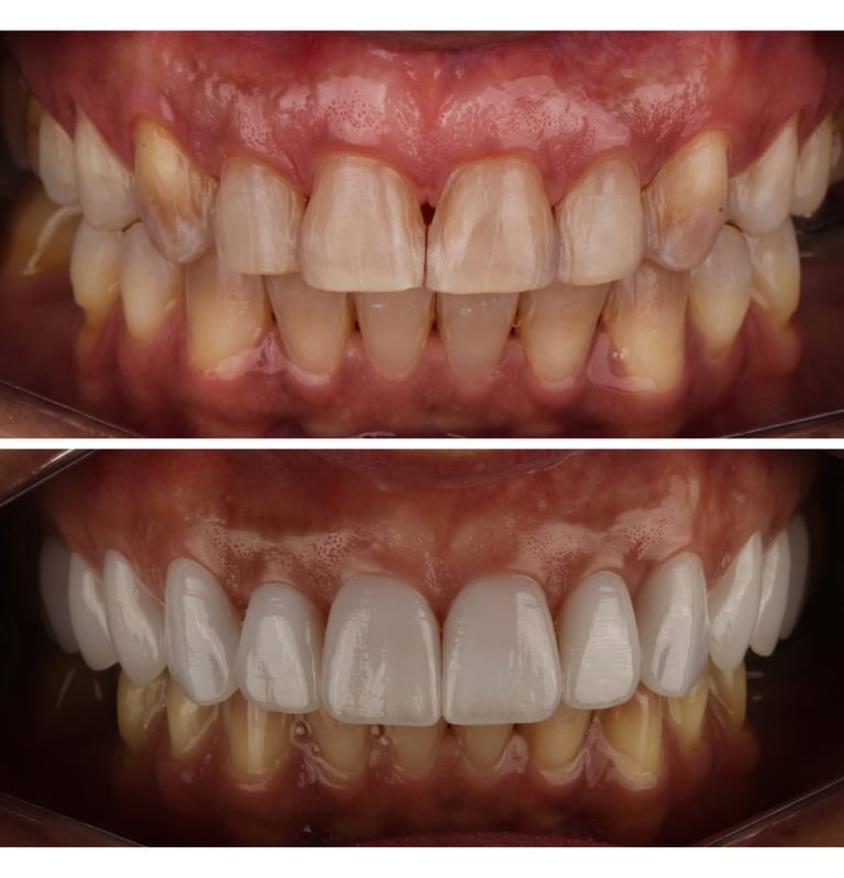
Transformações de Sorriso
Veja como as lentes podem mudar sua aparência e confiança.
Experimente uma nova vida com um sorriso renovado.
Vida Nova


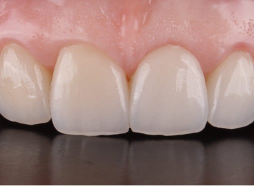
Estética e Naturalidade




As lentes de contato dental transformaram meu sorriso e aumentaram minha autoestima.
Rosinete SIlva


★★★★★
Lentes de Contato Dental
Quais são os benefícios?
As lentes de contato dental melhoram a estética e a autoestima, proporcionando um sorriso mais bonito.
Como funciona o procedimento?
As lentes são duráveis?
Posso comer normalmente?
Com a manutenção correta estudos mostram que é um tratamento com durabilidade de mais de 15 anos
Sim, as lentes são feitas de materiais resistentes e podem durar muitos anos com cuidados adequados.
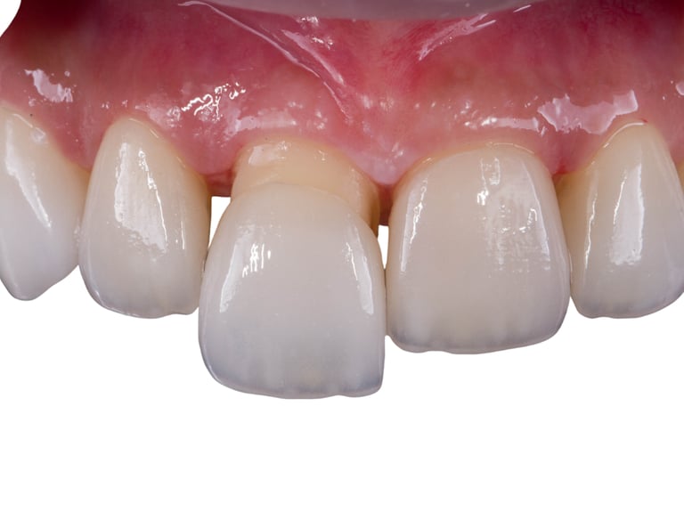
Aplicação de lente em porcelana sob o dente a partir de um planejamento dental e estético facial
Localização
Estamos localizados no centro de Santarém, oferecendo serviços de lente de contato dental que transformam sorrisos e vidas.
Endereço
Av. Pres. Vargas, 1439 - Santa Clara, Santarém - PA, 68005-393
Horário
Seg a Sab
8 hrs as 20:00 hrs
