Sua clínica Odontológica em Santarém
“Mais do que dentes perfeitos: devolvemos autoestima, confiança e felicidade.”


Ética: procedimentos baseados em ciência para o respeito e bem estar do paciente.
Precisão: desde o diagnóstico a execução dos tratamentos.
Arte: Anatomia e função em harmonia com suas características.
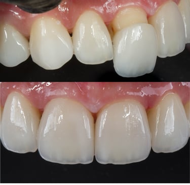
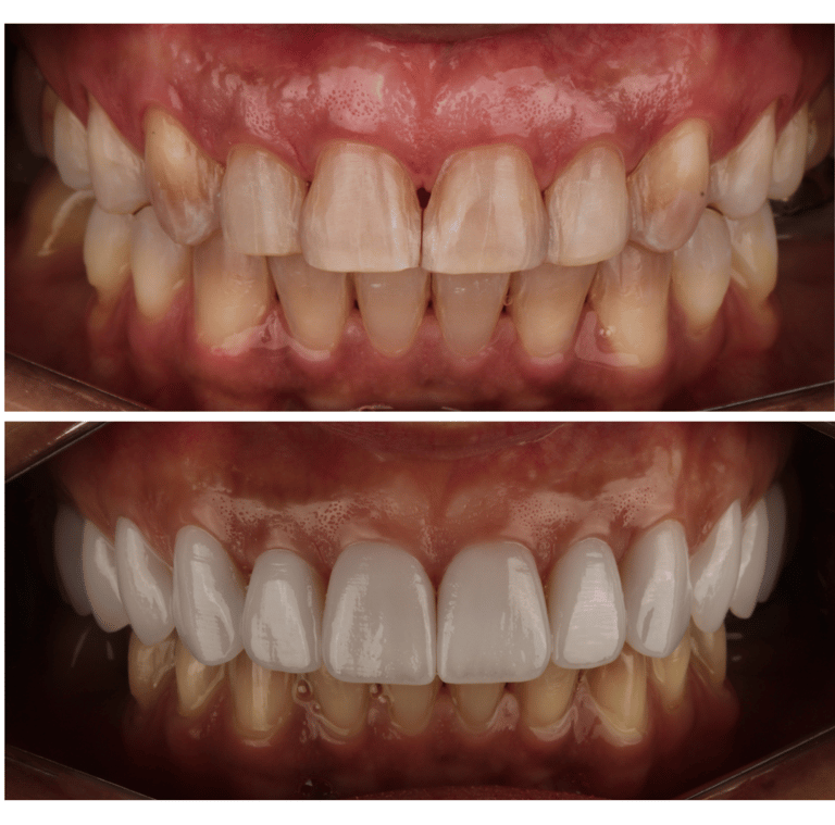
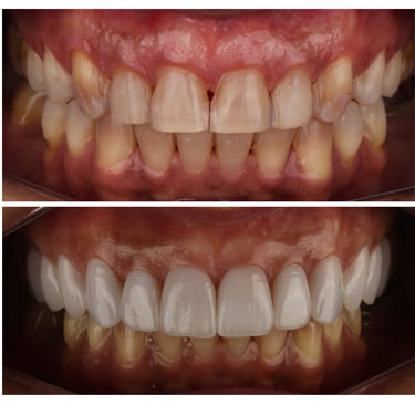
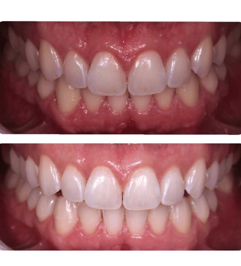
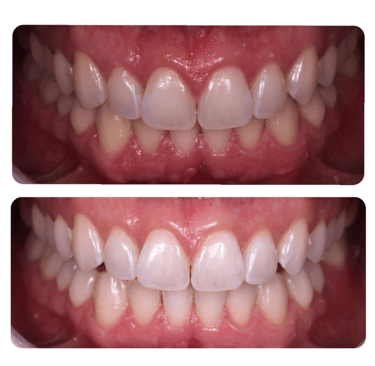
Veja como transformamos Sorrisos e Autoestima
Depoimentos reais, resultados reais.
Nada melhor do que ouvir de quem já viveu essa experiência.
Assista ao vídeo ao lado e descubra como o tratamento estético mudou a vida do nosso paciente Rodrigo.


Dr. Lucas Simões
Meu propósito vai além de tratar dentes. Quero transformar histórias por meio do sorriso.”
Sou o Dr. Lucas Simões, cirurgião-dentista com foco em Implantodontia e Reabilitação Oral, e tenho o privilégio de ajudar pessoas a recuperarem a autoestima, a segurança e a vontade de sorrir novamente.
Ao longo dos anos, aprendi que cada paciente carrega uma história única — e merece ser ouvido, acolhido e tratado com atenção, ética e precisão. A odontologia que pratico é personalizada: feita sob medida para você, com o que há de mais moderno, seguro e estético.
Se você tem o sonho de voltar a sorrir com tranquilidade, estou aqui para te ajudar a dar esse passo com segurança e cuidado.


Serviços Odontológicos
Oferecemos tratamentos de alta qualidade para o seu sorriso e saúde bucal.
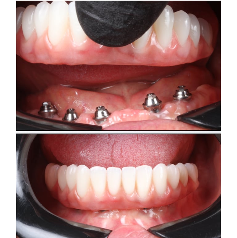
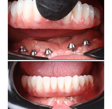
Implantes Dentários
Soluções duradouras para restaurar sua confiança e funcionalidade dental.
Cirurgias
Técnicas avançadas para realização de cirurgias complexas com a maior segurança.
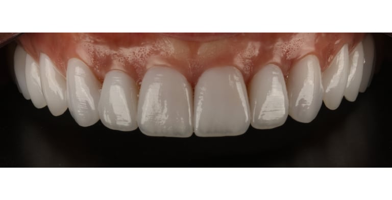
Facetas em porcelana
Tratamento com longevidade para mudança estética e funcional do sorriso.
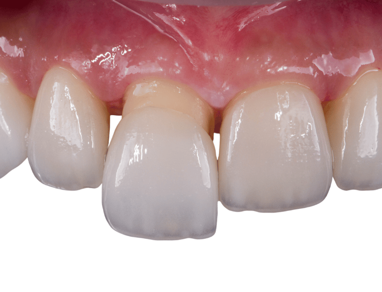
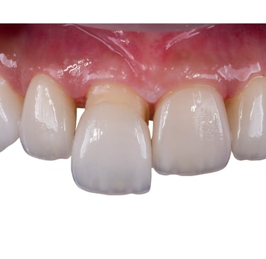
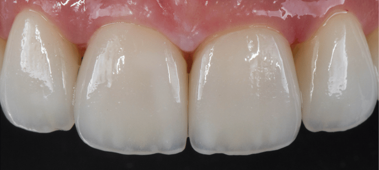
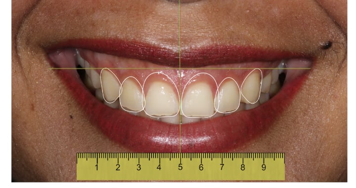
Tratamentos












Explore nossos procedimentos e resultados dos sorrisos transformados.






Implantes Dentários
Lentes em Porcelana
Gengivoplastia




Clareamento Dental
Reabilitações Posteriores


