Clareamento Dental
Transforme seu sorriso com nossos tratamentos de clareamento dental eficazes e seguros.
Clareamento Dental
Transforme seu sorriso com nossos tratamentos de clareamento dental eficazes e seguros.
Resultados Visíveis
Veja como o clareamento dental pode transformar seu sorriso e aumentar sua confiança.


Tratamentos Personalizados
Oferecemos soluções de clareamento dental adaptadas às suas necessidades e desejos.


★★★★★
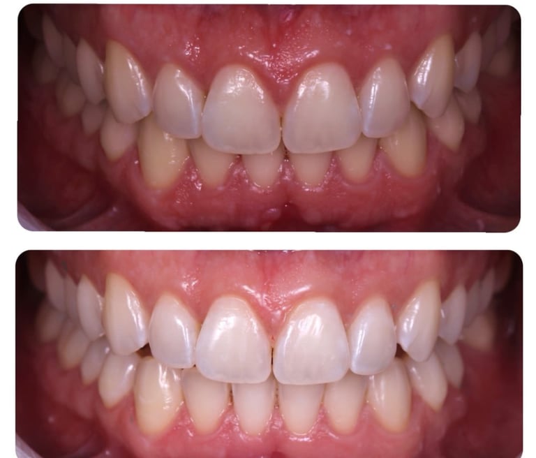
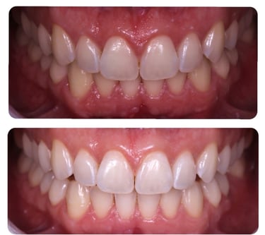
O clareamento dentário é a solução ideal para quem deseja reverter manchas, pigmentações e dentes amarelados, recuperando a luminosidade e a estética do sorriso.
Em nossa clínica, utilizamos técnicas modernas e seguras, que respeitam a integridade do tecido dental e proporcionam ótimos resultados.
Consulta Inicial e Avaliação
Antes de iniciar o clareamento, realizamos uma avaliação clínica detalhada para identificar a etiologia do escurecimento dental e verificar a saúde bucal do paciente.
Definição do Protocolo
Com base na análise, elaboramos um plano de tratamento personalizado, escolhendo entre as técnicas disponíveis – seja o clareamento caseiro supervisionado ou o clareamento em consultório – e ajustando a intensidade dos agentes clareadores para garantir resultados eficazes sem agredir os dentes
Fotografias
Fotografias são realizadas junto a escala de cor para documentar a situação inicial e servir de comparativo no final do tratamento

Localização
Descubra como o clareamento dental pode transformar seu sorriso e aumentar sua autoestima em nossa clínica especializada.
Localização
Av. Pres. Vargas, nº1439 - Santa Clara, Santarém - PA, 68005-393
Horários
Segunda a Sábado
8 hás 19:30 h
